医线实录 | 畅通无阻!医共体“生命通道”成功抢救危重肺栓塞患者
2025-09-19 09:10 来源:沙坪坝区陈家桥医院
近日,沙坪坝区陈家桥医院总院与歌乐山分院高效联动,在医共体协同诊疗体系的有力支撑下,成功救治一名高危肺栓塞合并下肢深静脉血栓患者,充分彰显了医共体模式下“基层首诊、上下转诊、急慢分治”的生命救治合力。
 
图片
手术治疗图
 
8月21日,陈家桥医院歌乐山分院慢病康复科接诊了一名56岁林姓患者。该患者左下肢水肿持续一天,且先后发生两次晕厥,门诊候诊期间仍反复晕厥并伴有血压偏低。
经详细问诊,得知患者半月前因骑车摔伤左膝后长期卧床。这一病史立即引起接诊团队的高度警惕:“长期卧床是VTE(静脉血栓栓塞症)的高危因素!”于是立刻向当天正在分院坐诊的总院呼吸与危重症医学科主任黎燕进行了汇报。
据黎燕介绍,为提升分院对VTE的识别及救治能力,总院对分院进行了全院VTE管理的综合培训,加强基层医务工作者风险防控意识,显著提升了歌乐山分院总体VTE预警和防控能力,有利于患者得到更加专业、安全、优质的护理服务,这也为本次早期准确识别患者危情奠定了坚实基础。
“结合患者左下肢水肿、D二聚体升高以及胸部CT和心脏彩超异常表现,我们初步判断其很可能存在肺栓塞或下肢深静脉血栓,这种情况是非常危险的,需要立刻为患者实施救治。”黎燕说,在为患者进行了抗凝治疗后,便立即通过双向转诊的绿色通道第一时间将患者送往总院做进一步高级别检查与系统化治疗。
 
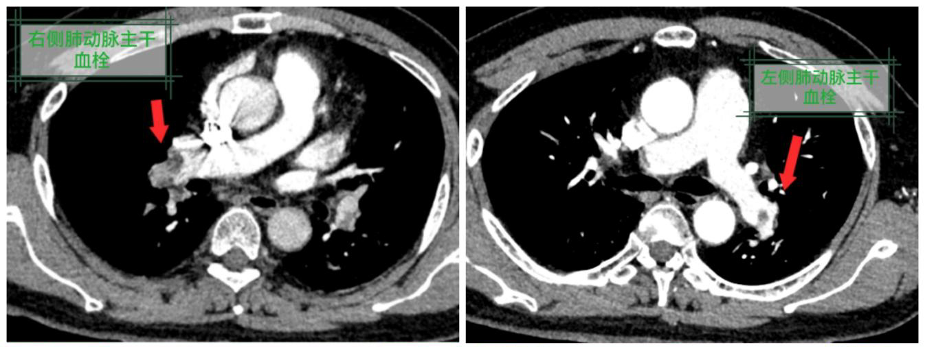
总院呼吸与危重症医学科团队在接到转诊患者后迅速响应,立即为患者完善相关检查。“该患者确实属于极危重情况,经检查明确诊断为:肺动脉主干及多发分支栓塞(中高危),合并双侧髂静脉血栓、呼吸衰竭,血栓负荷极重,下腔静脉近乎完全堵塞。若救治稍有延误,猝死风险极高!”
面对如此严峻病情,呼吸与危重症医学科团队迅速联合介入科等多学科为患者实施规范治疗。医院介入科主任杨冲及其团队急诊为患者施行了下腔静脉滤网置入术,术中发现双侧髂静脉及下腔静脉存在大量血栓,在置入滤器后立即进行了抽栓和置管溶栓治疗。术后患者双下肢肿胀得到明显缓解,后续又通过球囊扩张术成功解除了左髂静脉严重狭窄。
 
图片
介入医生手术过程图
杨冲介绍:“整个手术微创高效,仅通过大腿根部2mm穿刺点完成,患者术后恢复迅速,12小时即可下床活动,下肢肿胀完全消失。”目前,患者病情已显著好转,危重症状得到有效控制。
“真的太感谢医生了,如果不是他们及时专业的救治,我们根本意识不到病情的凶险。”患者家属由衷感慨。
 
 
图片
总院为分院授牌合影图
回顾本次成功救治,黎燕指出,歌乐山分院对VTE的早期识别与及时呼救,为患者争取了宝贵的“黄金时间”,而总院的高效响应与多学科团队协作则使得救治流程无缝衔接、一气呵成。该案例也充分体现总院通过人员下沉、系统培训等方式,实实在在提升了分院的诊疗与应急能力。
该案例是总院持续推进医共体建设、强化VTE规范化管理体系的重要体现。分院医护在总院培训指导下的早期识别能力、与总院之间顺畅的转诊机制,共同为患者赢得生机。下一步,总院将以此案例为契机,联合各个分院深入开展VTE防控全院培训与多学科研讨,不断深化医共体内涵建设,助力基层诊疗能力提升,共同守牢辖区居民健康防线,进一步释放医共体“上下联动、急慢分治”的制度优势,为构建科学的分级诊疗格局注入更多民生温度。

健康服务

市卫生健康导航